cliquez sur les images pour les agrandir

Opérer mon chat ou mon chien?

Notre clinique est équipée pour réaliser tout type de chirurgie, des plus courantes, comme les chirurgies de convenance (stérilisation) aux plus pointues (chirurgies orthopédiques, abdominales).

 

Le plus grand soin est apporté au choix des protocoles anesthésiques personnalisés pour chaque patient en proposant lors d’une visite préopératoire un examen général complet, ainsi qu’un bilan sanguin préanesthésique. Les risques sont ainsi minimisés avec notamment la pratique de l’anesthésie gazeuse, une prise en charge de la douleur efficace, et la sécurité d’une voie veineuse. Nous mettons en place une surveillance avec monitoring effectuée par nos auxiliaires vétérinaires pendant toute l’intervention, celle ci se poursuit jusqu’au réveil complet de l’animal. L’ensemble du matériel utilisé est stérilisé ou à usage unique. Nous intervenons sur un large panel de pathologies :

 

Chirurgies de l’appareil génital :

Mastectomies (ablation des mamelles lors de tumeurs mammaires)

Ovariohystérectomie (retrait de l’utérus et des ovaires)

Cryptorchidectomie (retrait de testicules non descendus qui peuvent cancériser après 5 ans)

 

Chirurgies de l’appareil urinaire :

cystotomies (ouverture de la vessie) ou uretrostomies (ouverture des voies urinaires basses) pour pouvoir extraire des calculs urinaires

 

Chirurgies digestives :

entérotomies (ouverture du système digestif lors d’ingestion de corps étrangers, occlusion)

Enterectomies (retrait d’un segment d’intestin trop atteint)

 

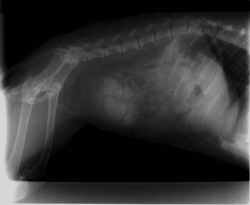
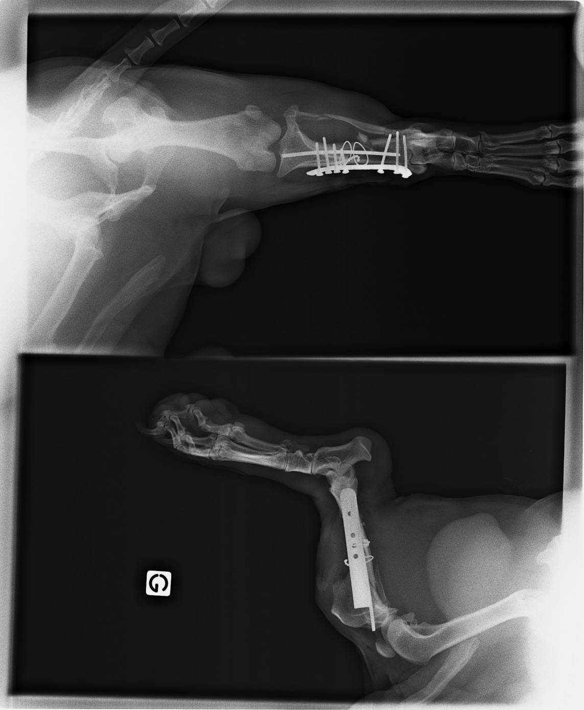
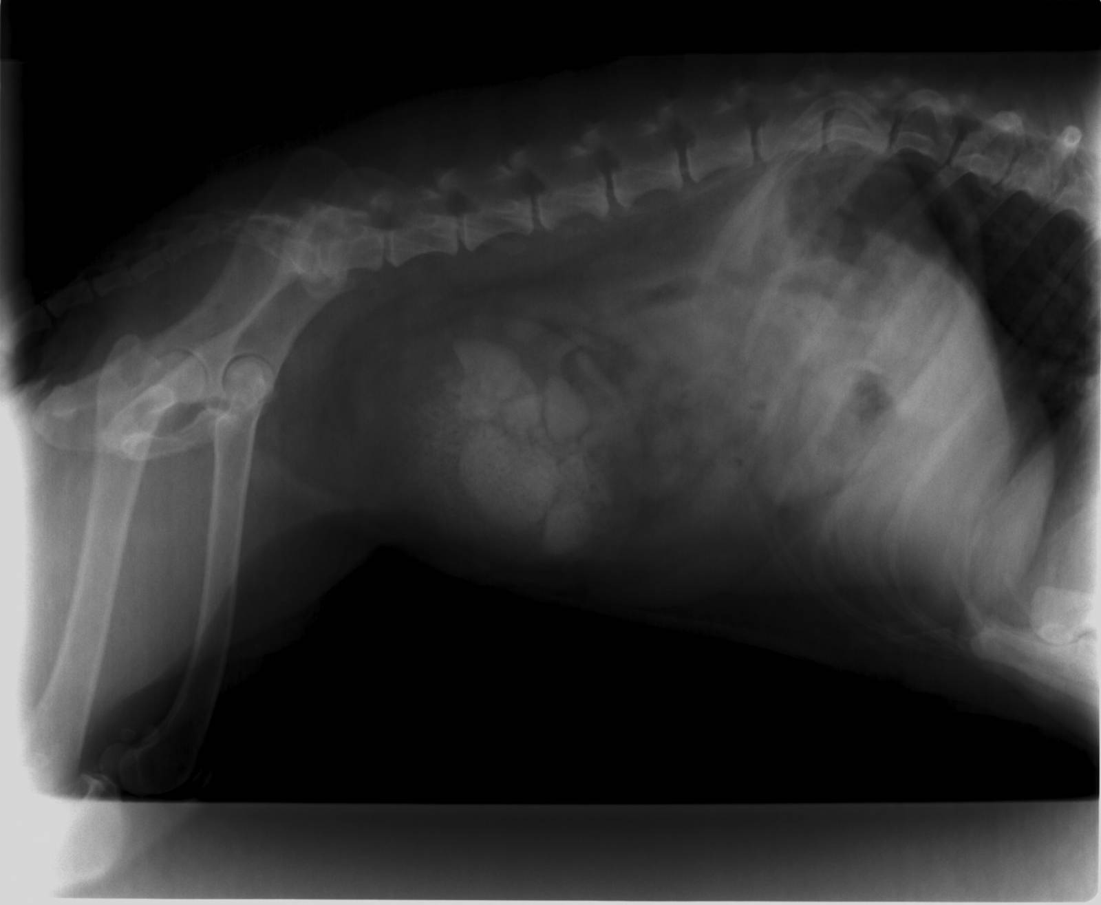
Chirurgies orthopédiques :

fractures

luxations

ruptures de ligaments croisés

 

Chirurgies cutanées, sous cutanées, ou pathologie particulières

exérèse (retrait) de tumeurs, sutures de plaies traumatiques

Biopsies cutanées

Othematomes (hématome du pavillon interne de l’oreille)

Hernies ombilicales, inguinales, périnéales

Ablation des glandes anales

Splénectomie (retrait de la rate)

 

Chirurgies de l’œil

tarsorraphie : protection d’un ulcère cornéen problématique par recouvrement avec la paupière

Retrait de nodules les paupières, ou correction de leur anatomie

Correction d’anomalies telles que la luxation de la glande lacrymale de Harder dans le coin de l’œil

Quand cela est nécessaire, des énucléations

 

Dentisterie et stomatologie

détartrages, soins dentaires, extractions dentaires

Ablation de tumeurs buccales, biopsies

Pour les interventions très spécifiques nécessitant des compétences ou du matériel particulier nous travaillons de concert avec des chirurgiens spécialisés qui peuvent venir opérer dans nos locaux. Nous avons la possibilité de rediriger les cas graves, notamment neurologiques nécessitant un scanner, ou les polytraumatisés devant être pris en charge pas plusieurs spécialistes, sur le centre de référés Synervet à Rouen ou des confrères de notre réseau Vetoalliance.

 

Nous écrire
Les champs indiqués par un astérisque (*) sont obligatoires
Vous cherchez une clinique vétérinaire pour prendre soin de votre animal ?