cliquez sur les images pour les agrandir

Nouveau : Radiologie dentaire chien ou chat

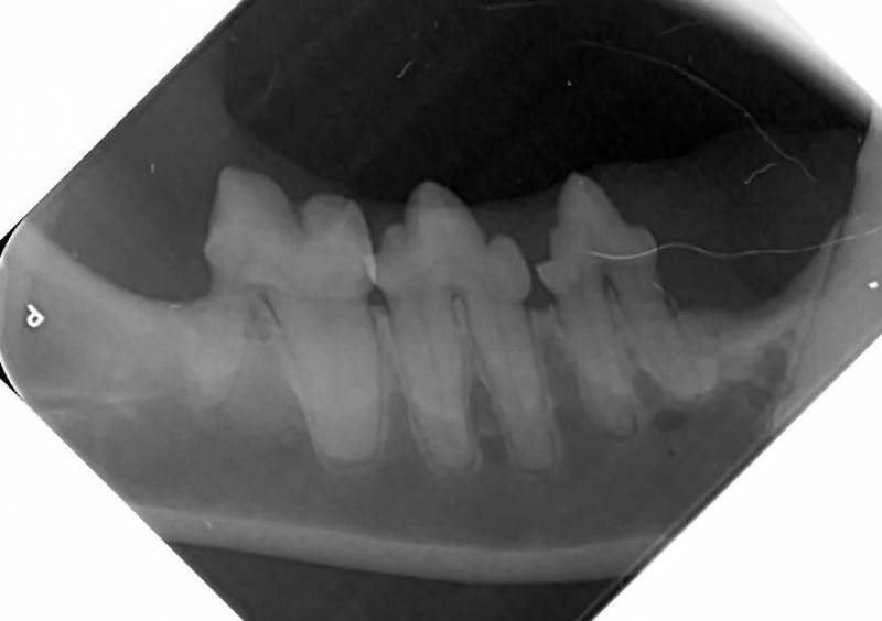
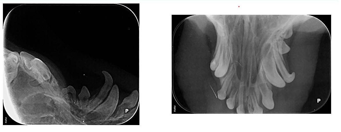
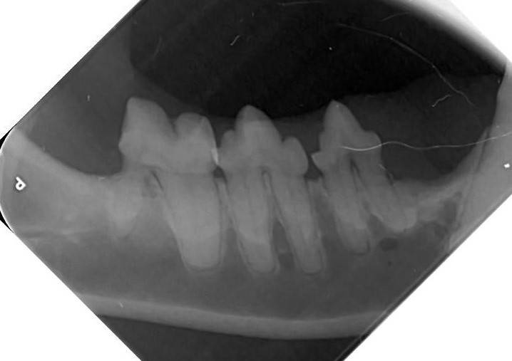
La clinique Vétérinaire est équipée d'un appareil de radiologie dentaire XMind accompagné d'un systême de développement numérique. 
Cet équipement est indispensable à la réalisation d'un bilan dentaire complet sur un chien ou un chat. En effet, la majorité des lésions dentaires chez les carnivores se trouvent sous la gencive et ne se voient pas à l'oeil nu, en particulier les résorptions dentaires chez le chat C'est pourquoi nous conseillons un bilan dentaire lors d'une intervention buccale ou un détartrage de convenance. 
toute radiologie dentaire ne peut être effectuée que sous sédation profonde afin que le cliché puisse être effectuée et afin d'obtenir une bonne qualité d'image.
Les lésions dentaires peuvent être responsables de fortes douleurs voire d'anorexie dans les cas sévères. 
Celà permet de dépister des dents fracturées, abîmées, infectées, les lyses osseuses de la mâchoire. Une infection dentaire latente peut être responsable de complications rénales cardiaques ou hépatiques
Chez nos compagnons aussi, dents c'est la santé !
N'hésitez pas à nous demander conseil ! 
Nous écrire
Les champs indiqués par un astérisque (*) sont obligatoires
Annonces associées
À découvrir
mauvaise haleine chien chat

Comment préserver l'hygiène bucco-dentaire de votre chien et de votre chat ?

Très précocement, il est important de prendre soin de l’hygiène dentaire de son chien et de son chat, pour éviter l'apparition insidieuse de complications telles que la maladie parodontale, des abcès dentaires voire des pathologies rénales ou cardiaques.
problème dents proche dieppe

Les gingivo-stomatites du chat

On se pose souvent des questions sur l'hygiène buccale de son chat. Est il gêné dans sa vie de tous les jours, ses dents et gencives sont elles en bon état, et surtout comment aller vérifier !Les chats peuvent en effet être atteints de gingivites...
Vous cherchez une clinique vétérinaire pour prendre soin de votre animal ?