cliquez sur les images pour les agrandir

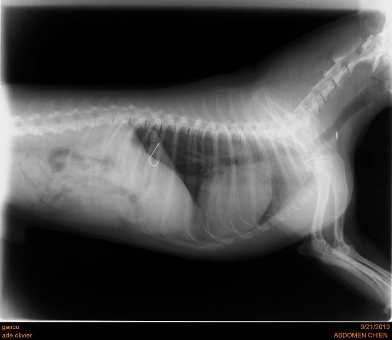
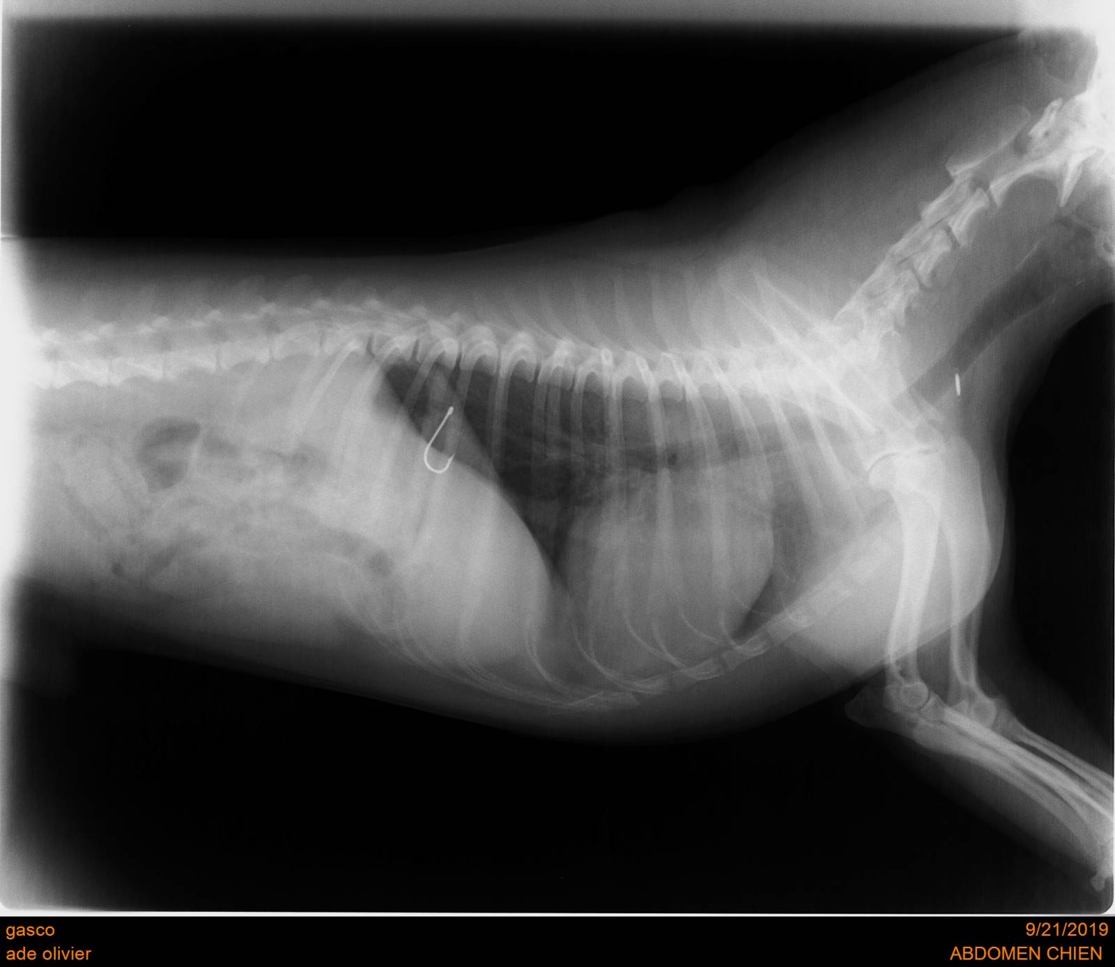
Les corps étrangers digestifs

L'ingestion de corps étranger est fréquente chez les carnivores domestiques. Les symptômes peuvent être très variés : vomissements aigues ou chroniques, diarrhée, absence de selles, douleurs abdominales plus ou moins marquées, traces de sang dans les selles, dysorexie ou anorexie totale, amaigrissement rapide. La gravité des lésions intestinales occasionnées par le corps étranger est liée au corps étranger lui même (objets perforants, objets linéaires) et à sa localisation dans le système digestif (occlusion totale ou partielle ?). La visualisation en imagerie peut être difficile et demande souvent la combinaison de radiographies, d'échographies voire de la réalisation d'une succession de radiographies sur plusieurs heures appelée transit baryté (ingestion d'un produit de contraste visible à la radiographie dont on suit l'avancée dans le système digestif).
L'ingestion d'un corps étranger constaté nécessite une consultation en urgence et une prise en charge rapide, médicale ou chirurgicale suivant les cas.
Outre l'ingestion de corps étrangers, attention aussi aux produits toxiques pour votre animal.... !!!
N'hésitez pas à nous demander conseil

Nous écrire
Les champs indiqués par un astérisque (*) sont obligatoires
Annonces associées
À découvrir
prevention proche saint valery en caux

La consultation annuelle préventive

Conseils, soins, et prévention vous rassureront lors de la consultation annuelle préventive, nous permettant de surveiller de prés l'état de santé de votre compagnon.
urgence veterinaire

Nos horaires d'ouverture

La clinique vétérinaire de la côte d'Albâtre est ouverte du lundi au vendredi de 8h a 19h et le samedi de 8h a 17h, les consultations se font sur rendez vous uniquement, les urgences sont assurées 24h/24
Vous cherchez une clinique vétérinaire pour prendre soin de votre animal ?