cliquez sur les images pour les agrandir

Difficultés urinaires et chirurgie

Mon chat ou mon chien a du mal à uriner

Votre animal fait des efforts et de nombreuses allées-venues pour uriner, les essais sont infructueux et seules quelques gouttes sont émises, parfois avec du sang ? Si c'est un mâle, il faut penser a consulter rapidement, cela peut être une urgence nécessitant d'être contrôlée le soir même ou des que possible le week-end.

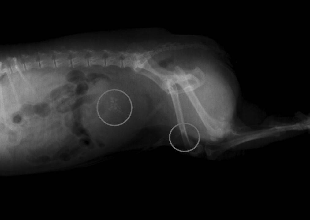
Cela peut être en effet une cystite qui se complique d'une obstruction des voies urinaires par des calculs le plus souvent, des bouchons de mucus ou des caillots sanguins parfois, et ce dans la partie la plus basse et la plus étroite des voie urinaires du mâle (à savoir l’urètre), au niveau du pénis. Une fois bouchée par ce sable de calculs, la vessie gonfle et devient douloureuse, on parle de « globe vésical » et l'animal rentre en insuffisance rénale très rapidement car des déchets azotés comme l'urée normalement éliminée dans les urines se concentrent dans le sang à des taux très élevés, et créent une défaillance rénale suivie d'un coma.

Il y a alors nécessité absolue de sonder la vessie pour lever l'obstruction, perfuser pour « nettoyer » le sang et analyser le type de calculs responsables pour donner ensuite le régime alimentaire adapté et éviter ainsi de rapides récidives.

Mais parfois ces mesures ne suffisent pas, lever l’obstruction n'est pas toujours possible, ou les récidives sont trop nombreuses quelque-soient les traitements mis en place et seule la chirurgie pourra alors résoudre le problème.

Nous pouvons alors pratiquer une uretrostomie, chirurgie qui consiste a créer un nouvel orifice en abouchant l’urètre directement a la peau dans sa zone la plus large et en amont du point d'obstruction.

Parfois des calculs volumineux sont déjà présents dans la vessie, nécessitant aussi une cystotomie, chirurgie qui consiste a aller chercher ces derniers directement sur place.

Une surveillance attentive et un régime alimentaire adapté à poursuivre toute sa vie durant, permettent alors de soulager votre animal et empêcher toute récidive.

Nous écrire
Les champs indiqués par un astérisque (*) sont obligatoires
Vous cherchez une clinique vétérinaire pour prendre soin de votre animal ?